service

Bonding Uygulamaları Nedir?

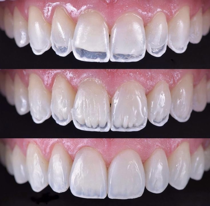
Bonding uygulamaları, dişlerdeki küçük estetik kusurları düzeltmek amacıyla özel kompozit reçinelerin kullanıldığı pratik ve etkili bir diş estetiği yöntemidir. Bu yöntemle, diş yüzeylerinde meydana gelen küçük kırıklar, form bozuklukları veya dişler arasındaki boşluklar (diastema) hızlı ve ekonomik şekilde giderilir.

Diş Arası Boşluk Kapatma (Diastema)

Dişler arasındaki boşluklar (diastema), estetik açıdan rahatsız edici olabilir. Bonding uygulaması ile bu boşluklar hızlıca kapatılır ve dişlerin doğal görünümü korunarak ideal estetik sonuç elde edilir. İşlem, tek seansta tamamlanarak hastalara hızlı ve konforlu bir çözüm sunar.

Ufak Kırık ve Form Düzeltme

Dişlerde oluşan ufak kırıklar veya form bozuklukları bonding yöntemi ile kolaylıkla düzeltilir. Özel olarak hazırlanan kompozit malzemeler diş üzerine uygulanarak doğal diş formu tekrar oluşturulur. Bu yöntem, estetik görünümü düzeltmenin yanı sıra dişlerin fonksiyonunu da korur ve iyileştirir.

Bonding uygulamaları sayesinde, dişlerdeki küçük estetik problemleri hızlı, ekonomik ve etkili bir şekilde gidererek sağlıklı ve doğal görünümlü gülüşlere kavuşabilirsiniz.

Dentbul Clinics

You can access the clinic information that suits you and contact us

View Details
Dentbul Clinics
Ataköy Dentbul Diş Kliniği
Pazartesi - Cumartesi 09:00 - 21:00
Şirinevler Dentbul Diş Kliniği
Pazartesi - Cumartesi 09:00 - 21:00
Bağcılar Dentbul Diş Kliniği
Pazartesi - Cumartesi 09:00 - 19:00
service

Trust Your Teeth to the Experts

Book Appointment
Book Appointment

Request Your Appointment

Get Appointment
WhatsApp
Instagram
Phone
Book Appointment
WhatsApp
Hello!